VIP동물의료센터는
심도 있는 치료까지 책임집니다.
조용히 진행되던 심부전, MMVD C단계 심인성 폐수종 치료 사례
- 작성자
- 관리자
- 등록일
- 2026-02-02
- 조회수
- 381
■ 환자 기본 정보
동물 이름 : 조이
나이 : 12살
성별 : 중성화 여아
품종 : 꼬똥 드 뚤레아
주요 증상 : 호흡곤란
■ 내원 당시 환자의 상태
작년에 심장병 진단을 받고, 이후 하루 한 번 심장약을 복용해오던 아이였습니다.
보호자분께서는 약을 꾸준히 챙겨주려고 노력하셨지만, 바쁜 일상 속에서 간혹 복용을 빠뜨리는 날도 있었다고 조심스럽게 말씀해주셨습니다.
사실 4개월 전에도 심장 관련 수치가 급격히 상승했던 적이 있어 그동안 걱정이 많으셨다고 합니다.
대략 한 달 전부터 숨을 다소 가쁘게 쉬는 모습을 보이기 시작했고, 과거 디스크로 인해 헉헉거리던 기억이 떠올라 이번에도 혹시 그 때문은 아닐지 고민하셨다고 합니다.
하지만 2주 전부터는 호흡이 눈에 띄게 더 빨라졌고, 특히 3~4일 전부터는 숨 쉬는 것이 매우 힘들어 보이며 정신도 없어 보일 정도로 상태가 급격히 악화되었습니다.
그럼에도 불구하고 식욕과 활력은 비교적 유지되고 있었기에 보호자분께서는 큰 위기감은 느끼지 못하셨다고 합니다.
그러던 중 전날 목욕을 한 이후, 다음 날 아침부터 갑자기 전혀 식사를 하지 않아 급히 지역 병원을 방문하셨고, 검사 결과 상태가 심각하다는 판단 하에 본원으로 전원되어 정밀검진 및 입원 치료를 받게 되었습니다.

■ 검사 방법 및 결과
본원 내원 직후 시행한 신체검사에서 아이의 상태는 매우 심각한 것으로 평가되었습니다.
청진 시 심잡음과 함께, 폐에서 거품이 이는 듯한 crackle sound가 청취되었으며 심한 청색증(cyanosis) 이 관찰되었습니다.
이는 산소 공급이 원활하지 않다는 신호로, 매우 위험한 상태를 의미합니다.
시행한 검사
흉부 방사선 촬영(X-ray)
진단된 질환
심비대, 폐부종 (Cardiomegaly, Cardiogenic Pulmonary Edema)
방사선 촬영 결과,
VHS (Vertebral Heart Score)는 12.3, VLAS (Vertebral Left Atrial Size)는 3.0으로 확인되었습니다.
흉부 방사선 촬영상 심장은 정상보다 매우 커져 있었으며, 특히 좌심방이 확장되어 있는 상태임을 의미합니다.
또한 폐 전체에 걸쳐 심한 간질–폐포 패턴이 확인되었는데, 이는 폐에 액체가 차 있는 폐부종(CPE, cardiogenic pulmonary edema) 의
전형적인 방사선 소견입니다.
아이의 경우 심장 기능 저하로 인해 폐에 물이 차면서 숨 쉬는 것이 매우 어려운 상태였고, 이로 인해 위급한 호흡곤란이 발생한 것으로 판단되었습니다. ▼

시행한 검사
심장초음파
진단된 질환
이첨판 폐쇄부전증(MMVD) – ACVIM Stage C, 심인성 폐수종(CPE)
심장초음파 검사 결과, MV(이첨판)의 변성과 함께 중등도 이탈(moderate prolapse) 이 확인되었으며, 심한 이첨판 역류(Severe MR) 가 동반되어 있었습니다.(역류 속도 Vmax 6.18 m/s)
심장 내 압력 상승으로 인해 좌심방 용적이 비정상적으로 증가된 상태였으며 (LA/Ao 2.7, LA diameter 32.9 mm), 좌심실 이완기말 용적 증가도 확인되었습니다. (LVIDDN 2.3)
또한 심장의 부담이 커지면서 좌심방 압력 상승 소견(E peak 1.58 m/s)이 관찰되었습니다. Mild TR(삼첨판 역류)은 확인되었으나, 우심실의 크기와 기능은 비교적 양호한 상태였으며 폐고혈압(PH) 가능성은 낮게 평가되었습니다.
결론적으로, 아이는 심장 기능 저하로 인한 중증 이첨판 역류와 그에 따른 심한 심장 비대 상태로, 심부전 단계에 도달한 MMVD C 단계로 진단되었습니다. ▼

혈액검사는 몸 안의 전반적인 상태와,
특히 심장 기능에 영향을 주는 지표를 파악하는 데 중요한 역할을 합니다.
시행한 검사
일반 혈액검사, 심장 바이오마커 검사
중요 지표
NT-proBNP 수치 확인
진단된 이상 소견
심장 부담 증가(심부전 악화 소견)
NT-proBNP는 심부전, 즉 심장 기능 저하 상태에서 매우 유용한 지표로, 치료 반응을 평가하는 데에도 지속적으로 활용될 예정입니다.
검사 결과, NT-proBNP 수치가 4,000 → 6,747.8로 추가 상승한 것이 확인되었습니다.
이 수치는 심장이 스트레스를 받을수록 상승하는데, 이전보다 높아졌다는 것은심장에 가해지는 부담이 계속 커지고 있음을 의미합니다.
그 외 일반적인 혈액 수치에서는 CRP 염증 관련 수치의 소폭 상승 외에 뚜렷한 이상 소견은 확인되지 않았습니다.
즉, 아이의 주요 문제는 다른 장기 이상보다는심장 기능 저하에 집중되어 있음을 보여주는 결과입니다. ▼

■ 퇴행성 승모판 질환( MMVD) - ACVIM Stage C, 심인성 폐부종(CPE 동반)
아이에게 진단된 질환은 이첨판 폐쇄부전증(MMVD) 입니다.
MMVD는 노령견에서 가장 흔하게 발생하는 유전성 심장질환입니다.
심장의 좌심방과 좌심실 사이에 위치한 이첨판(Mitral Valve)이 점차 퇴행적으로 변성되면서 제 기능을 하지 못하게 되고, 그 결과 혈액이 역류하는 이첨판 역류(MR) 가 발생합니다.
이로 인해 심장은 점점 커지고 기능이 약해지며, 결국 심장 확장, 기능 저하, 그리고 폐에 물이 차는 폐부종 등의 증상이 나타나게 됩니다.
본 환자는 심장병으로 인해 폐에 물이 차는 심인성 폐부종(CPE) 이 동반된 심부전 단계(Stage C) 에 해당합니다.
증상 및 주의사항
호흡 곤란, 기침, 식욕 저하, 무기력 약물은 반드시 꾸준히 복용해야 하며, 정기적인 검진이 필요합니다.
또한 안정 시 호흡 수가 분당 30회 이상일 경우, 즉시 병원으로 연락해 주시기 바랍니다.
■ 수술/치료 방법
아이의 상태는 내원 당시 매우 위중했으며,심장성 폐수종과 심부전 증상으로 인해 즉시 중환자 입원 치료가 진행되었습니다.
시행된 집중 치료 내용
산소 처치(Oxygen therapy)
부족한 산소 공급을 보완하기 위해 산소 케이지에서 호흡을 안정시켰습니다.
이뇨제(Furosemide)
폐에 고여 있는 체액을 배출하여 숨 쉬는 부담을 줄이기 위해 정맥으로 투여하였습니다.
심장 기능 지지 치료
정맥확장제(Nitroprusside)와 승압제(Dobutamine)를 지속적으로 주입(CRI)하여 심장 부담을 조절하였습니다.
위의 치료들을 통합한 집중 관리 방식을 FOND 요법 (FOND: Furosemide, Oxygen, Nitroprusside, Dobutamine의 약어)이라고 합니다.
기존 심장약은 현재 상태에 맞게 용량을 조절한 뒤 재투약하여 심장 부담을 최소화하였습니다.
또한 검사에서 염증 수치가 약간 상승해 있었고, 폐렴 가능성을 완전히 배제할 수 없었기 때문에 항생제 치료도 함께 진행하였습니다.
이처럼 위급한 상태에서는 빠르고 집중적인 치료가 무엇보다 중요합니다.
심장의 부담을 덜어주고 호흡을 안정시키며, 추가적인 감염 가능성까지 고려한 통합적인 치료가 시행되었습니다.

■ 수술/치료 경과
입원 치료를 시작한 이후, 아이는 비교적 빠른 회복 반응을 보여주었습니다.
집중적인 약물 치료와 산소 처치 덕분에 심장 부담과 폐 상태가 점차 개선되었고, 호흡도 눈에 띄게 안정되었습니다.
1. 입원 1일차(DAY 1)
집중 치료 시작 후 혈압과 호흡이 안정되기 시작했습니다.
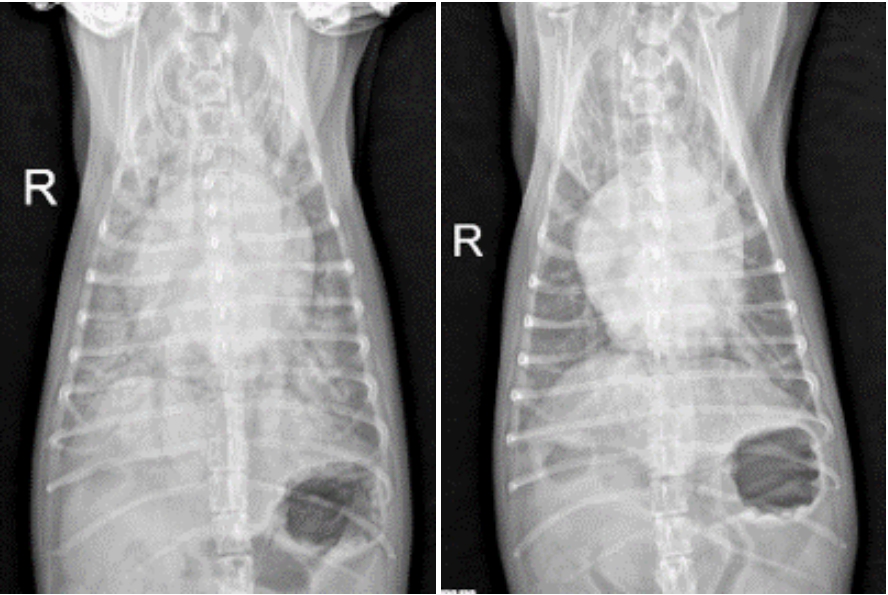
방사선 검사상 폐에 고여 있던 물(침윤)도 점차 흡수되며 개선되는 소견을 보였고, 이에 따라 승압제는 중단하였으며 이뇨제와 정맥확장제는 점차 감량하기 시작했습니다. ▼

내원 당시(좌), 입원 1일차 (우)
2. 입원 2일차
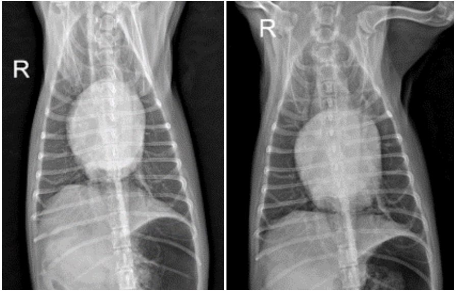
호흡과 혈압 상태가 계속해서 양호하게 유지되었고, 흉부 방사선 검사에서 심장과 좌심방의 크기, 폐 침윤이 의미 있게 감소한 것이 확인되었습니다. 이에 따라 이뇨제의 지속 정맥 주입(CRI)을 중단하고, 정맥 주사로 감량하여 유지 치료를 진행하였습니다. ▼
3. 입원 4일차
폐 침윤이 소실되며 폐야가 정상화되었고, 호흡 양상도 안정적인 상태를 유지하였습니다. 염증 수치 역시 호전되어 항생제를 중단하였으며, 상태가 충분히 안정된 것을 확인한 후 내복약으로 전환하여 통원 치료로 전환하였습니다.
*치료 중 전해질 수치 불균형이 일시적으로 심화되었으나, 이는 이뇨제 사용과 탈수의 영향으로 판단되었습니다.
이에 따라 이뇨제 용량 조절, 음수량 관리, 전해질 보충제 및 관련 내복약을 추가하여 안정적으로 조정하였습니다.
현재 아이는 상태가 잘 안정되었으며, 심장약 및 보조 약물 복용을 지속하면서 정기적인 추적 관리와 모니터링이 필요한 상태입니다.

입원 3일차(좌), 입원 4일차 (우)
이번 치료 케이스는 심부전과 폐부종으로 인해 호흡곤란이 동반된 매우 위급한 상황이었지만, 신속하고 체계적인 중환자 집중 치료를 통해
비교적 빠른 회복을 이끌어낼 수 있었습니다.
저희 VIP 동물의료센터는 24시간 대응 가능한 응급진료 시스템 호흡, 혈압, 산소포화도 등을 실시간으로 관찰할 수 있는 중환자 전용 ICU 심장 상태를 정밀하게 평가할 수 있는 고성능 심장초음파 장비, 단순한 이뇨제 처방이 아닌, FOND 처치(Furosemide, Oxygen, Nitroprusside, Dobutamine) 와 같은 통합 집중 치료법을 바탕으로 심장 환자들에게 보다 안전하고 빠른 회복의 기회를 제공하고 있습니다.
특히 이번 치료처럼 빠른 치료 반응이 필요한 중증 심장 질환 환자의 경우, 정확한 초기 진단과 치료 중 발생할 수 있는 합병증(전해질 이상 등)에 대한 민감한 모니터링, 그리고 치료 이후의 세심한 용량 조절과 내복약 계획 수립이 매우 중요합니다.
앞으로도 보호자분과 함께 반려동물의 건강을 지켜갈 수 있도록, 꼼꼼한 진단과 책임감 있는 치료를 이어가겠습니다.
감사합니다.
VIP동물의료센터 성북점 박세영 팀장