VIP동물의료센터는
심도 있는 치료까지 책임집니다.
점점 팽창해 가는 강아지 담낭 점액종, 복강경 담낭절제술로 치료한 케이스
- 작성자
- 관리자
- 등록일
- 2025-12-29
- 조회수
- 136
■ 환자 기본 정보
동물 이름 : 누누
나이 : 10살
성별 : 중성화 여
품종 : 비글
주요 증상 : 2년전에 기존 다니던 병원에서 진단 받은 담낭슬러지, 최근 검진에서 점점 진행되고 커져가는 양상 확인되어 복강경 담낭절제술 상담 위해 내원.
■ 내원 당시 환자의 상태
노노는 10살된 비글로 2년전에 본래 다니던 병원에서 초음파 검사로 담낭슬러지를 진단 받은 후 정기 검진을 이어가던 아이였습니다.
최근 검진에서 점점 진행되어가는 양상이어서 수술을 권유받았고, 보호자분께서는 복강경 수술에 대해 상담 받기 위해 저희 병원으로 내원하셨습니다.
내원 당시 노노는 평상 시 간헐적인 구토증상이 있었던 것 외에는 전반적인 활력은 양호한 편이었습니다.
하지만 병원에서 검사하는 중에도 보호자와 떨어져 있는 것을 몹시 불안해 하고 하울링하는 모습을 보이곤 했는데, 이런 것도 복강경으로 수술을 알아보신 이유 중 하나였다고 보호자분께서는 말씀하셨습니다. (개복 담낭절제술은 3일 이상 입원이 필요하지만 복강경으로 수술하면 하루만 입원해도 됩니다.)
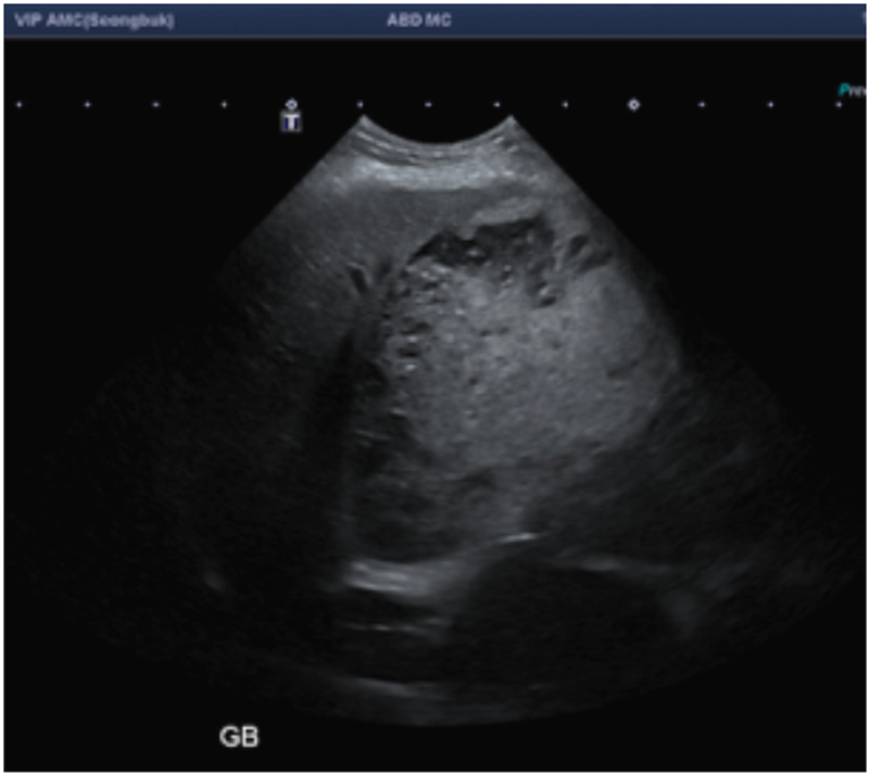
보호자분이 본원에 내원하기 직전 병원에서 검사했던 초음파 검사 사진을 봤을 때 굉장히 팽창되어 있다는 게 눈에 띄었습니다.
본원에서 다시 평가를 했을 때에도 담낭을 메우고 있는 물질의 양상은 Type 2에 해당하는 비교적 초기 상태이긴 하지만 담낭이 굉장히 팽만된 상태였고, 이런 흐름이 지속되어 간다면 주변으로 염증을 유발하여 간에도 더 큰 영향을 줄 수 있고 기력 저하, 식욕 부진의 증상이 나타날 수 있는 상태였습니다.

(내원 직전 병원에서 검사한 초음파 사진 ▲)

(본원에서 검사한 초음파 사진. 담낭 슬러지가 담낭 전체를 가득 메우고 있고, 변연부에 점액성 변화를 보이는 물질들이 생성되어 가는 중. 담낭점액종 Type 2. ▲)
■ 수술 / 치료 방법
약물 관리에도 반응없이 이렇게 점점 진행되어 가는 담낭점액종은 주변으로 염증을 유발하여 임상 증상을 일으키기도 하고, 심한 경우는 파열로 인한 복막염, 패혈증까 지 진행될 수 있기 때문에 굉장히 주의를 기울이고 관리해야 합니다.
담낭절제술은 보통 담낭점액종 진행이 두드러지거나, 말기 단계에서 큰 문제를 유발할 때 실시되곤 하지만, 초기 상태에서는 복강경으로 수술할 수 있고, 최소침습,
빠른 회복 등의 이유로 최근 선호되고 있는 수술법입니다.
다만 노노의 경우에는 걱정되는 것은 하나, 많이 팽창되어 있는 상태이기 때문에 복강경 수술 시 담낭의 조작에 어려움이 있을 수 있고, 수술 진행이 어려울 경우에는
부득이 개복 수술로 전환될 수 있는 가능성도 있습니다.
여러가지 가능성에 대해 철저히 준비하고 노노는 복강경 담낭절제술을 받게 되었습니다.

(복강경으로 확인한 노노의 담낭 모습. 굉장히 팽창되어 있는 모습 ▲)

(팽창된 담낭이 일부 염증을 유발하여 주변 간엽 끝부분과 유착되어 들러붙어 있는 것이 확인됩니다. ▲ (화살표 머리)
사진에서 표현이 되진 않지만, 담낭이 많이 팽창되어 있어 수술기구로 담낭을 붙잡을 수 없는 상태였고, 그래서 담낭관을 우선 분리하는 기존 방식과 다르게 담낭을 간에서 먼저 분리하는 (Fundus-first) 방식으로 수술을 진행했습니다.)

(담낭을 간에서 부터 우선 분리한 후 모습 ▲)

(분리를 끝낸 담낭을 수술기구로 들어올린 후 확보된 담낭관에 결찰 도구로 결찰하는 모습 ▲)

(담낭을 절제해낸 후 남은 담낭관 모습. 담즙 누출 없는 것 확인 ▲)

(절제해낸 담낭의 모습. 매우 팽창되어 있는 모습이 눈에 띕니다. ▲)

(담낭을 retrieval bag에 담는 모습 ▲)

(Bag을 복강 밖으로 꺼내는 모습(좌), 제거된 담낭(우) ▲)

(복강경 담낭절제술을 위해 준비된 모습 (좌), 복강경 담낭절제술을 마친 후 모습(우)▲ )
■ 수술 / 치료 경과
수술은 무사히 잘 마친 누누는 하루 동안만 입원해서 처치 받은 후, 수술 부위 상태 체크, 간 수치, 황달 수치 등의 혈액 검사를 진행했습니다.
다행히 회복 기간 중 모든 수치가 이상 없는 것으로 확인되었고, 수술 후 2주되는 날 실밥 제거하였습니다.

(혈액검사 결과표. 가장 오른쪽이 수술 당일, 그 왼쪽이 수술 다음날, 가장 왼쪽이 수술 후 4일 뒤 ▲)
담낭점액종은 점차 진행되면서 아주 어려운 상황에 처하게 될 수 있기 때문에 한번 진단받았다면 추적 관찰을 잘 하면서 적절한 수술 시기를 정하는 것이 장기적 예후를 결정짓는 가장 중요한 포인트가 됩니다.
복강경을 이용한 담낭절제술도 담낭질환이 말기 상태까지 진행되지 않았다면, 그리고 주변 염증동반이 심각하지 않다면 충분히 안전하게 제거 수술을 할 수 있습니다.
복강경과 개복 수술은 수술 직후 환자가 받는 스트레스에 큰 차이가 납니다.
담낭 질환 때문에 담낭절제술을 고민하고 계시다면 적절한 시기에 복강경 수술을 받는 것이 추천되는 이유입니다.
VIP동물의료센터 성북점에서는 4K화질의 최신형 stryker 복강경 장비와 다관절 복강경 기구를 통해 보다 더 안전하고 섬세한 수술을 하고 있습니다.
자세하고 친절한 수술 상담을 통해 환자에게 가장 적합하고 안전한 수술 방법으로 최선의 결과를 만들기 위해 노력하고 있습니다.
VIP동물의료센터 성북점 안승엽 원장