VIP동물의료센터는
심도 있는 치료까지 책임집니다.
강아지 간수치 높을 때 꼭 확인해야 할 것: 실제 간 종양 진단 사례
- 작성자
- 관리자
- 등록일
- 2026-03-30
- 조회수
- 50
■ 환자 기본 정보
동물 이름 : 나나
나이 : 9살
성별 : 중성화 암컷
품종 : 프렌치 스피츠
주요 증상 : 임상증상은 없었고 혈액검사 상 6개월 전부터 경미한 간수치 상승이 지속적으로 확인되었습니다.

■ 내원 당시 환자의 상태
나나는 7살 중성화된 암컷 스피츠로, 배 안에 종양이 의심되어 보다 정확한 검사와 진단을 위해 저희 병원에 내원했습니다.
보호자분 말씀에 따르면, 6개월 전 건강검진에서 진행한 혈액검사에서 간 수치가 높게 나왔고 이후에도 계속 높은 상태가 유지되고 있었다고 합니다.
간에 도움이 되는 보조제를 먹으면서 수치가 잠시 좋아지기도 했지만, 4개월이 지나도 뚜렷한 호전이 없어 추가로 초음파 검사를 진행하게 되었습니다.
그 결과, 초음파에서 약 4~6cm 크기의 종양이 확인되었고 보다 정밀한 검사와 치료를 위해 저희 병원으로 의뢰되었습니다.
■ 검사 방법 및 결과
보호자분과의 상담에서, 미아는 최근 1년 사이 체중이 약 1kg 정도 감소한 상태였습니다.
또 평소에도 설사를 자주 했고, 심할 때는 혈변까지 보기도 했으며 그때마다 처방받은 설사약을 먹으면 일시적으로 좋아지곤 했다고 합니다.
신체검사에서는 배 윗부분을 만졌을 때 통증을 크게 느끼는 모습을 보였고, 복부에 힘이 들어가면서 긴장된 상태가 확인되었습니다.
혈액검사 상 ALT, AST 의 상승이 확인되었고 혈구 검사 에서는 재생성을 띄고 있었습니다. ▼

엑스레이 상 간 후방으로 연부조직 음영의 타원형 종괴가 확인되었습니다. 그 외 복강 내 특이소견은 없었습니다. ▼

이후 초음파 검사를 진행했습니다. ▼
간 자체의 상태는 전반적으로 괜찮았지만, 간의 오른쪽 뒤쪽 부위에서 물혹(낭종)을 포함한 덩어리(종양)가 확인되었습니다. 크기는 약 6cm 정도로 비교적 큰 상태였습니다.
또한 간 주변의 림프절도 약간 커져 있는 모습이 보였습니다.
간 옆에 있는 췌장도 약간 불균일해 보였고, 두께가 정상보다 살짝 두꺼운 상태였지만, 췌장 주변은 깨끗하게 유지되고 있었습니다.
장 쪽을 확인했을 때는 소장 벽이 전반적으로 두꺼워진 부분도 관찰되었습니다.
이러한 검사 결과를 종합했을 때, 미아는 간에 꽤 큰 종양이 있는 상태였으며 가능한 진단으로는 간세포암(간에서 생기는 종양), 다른 종류의 악성 종양 또는 양성 결절(혹) 등이 의심되었습니다.
정확한 진단을 위해서는 CT 촬영과 조직 검사를 추가로 진행할 필요가 있는 상황이었습니다.

종양이 의심되는 경우에는 CT 검사가 매우 중요합니다. 초음파보다 더 자세하고 정확한 정보를 확인할 수 있기 때문입니다.
CT를 통해 종양이 정확히 어디에 있는지, 크기는 어느 정도인지, 그리고 이 덩어리가 단순 종양인지, 피가 고인 혈종인지, 고름이 찬 농양인지까지 보다 명확하게 구분할 수 있습니다.
또한 종양과 주변 혈관, 장기와의 관계도 확인할 수 있습니다.
특히 수술을 고려할 때는 출혈 위험이 중요한데, 종양이 혈관을 얼마나 침범하고 있는지 미리 파악하는 데 큰 도움이 됩니다.
그리고 악성 종양에서 가장 중요한 부분 중 하나는 ‘전이’ 여부입니다.
CT 검사를 통해 주변 림프절로 번졌는지, 더 나아가 폐나 뼈 같은 다른 장기로 퍼졌는지도 확인할 수 있습니다.
즉, CT는 초음파로는 확인하기 어려운 폐, 뼈, 복강 전체를 평가해 숨겨진 병변이나 전이 여부까지 꼼꼼하게 확인할 수 있는 검사입니다. ▼

간 네모옆에 돌출된 양상의 비정형 종괴가 확인되었습니다. 크기는 61.9x48.6x78.1mm 로 확인되었습니다.
정자세 그리고 옆에서 장기를 다방만에서 종양의 양상을 확인합니다.
간 우측 내측엽에 문맥 가장자리 조영 Rim enhancement 동반하는 저감쇠 영역도 확인되었습니다. ▼

간 주변에 있는 림프절을 확인하는 것도 매우 중요합니다.
만약 종양이 림프절로 퍼진 것으로 의심된다면, 해당 림프절을 수술로 일부 떼어내 조직 검사를 진행해 실제로 전이가 되었는지 정확하게 확인할 필요가 있습니다.
림프절 전이 여부에 따라 앞으로의 치료 방향이나 예후(회복 가능성)가 크게 달라지기 때문에 반드시 확인해야 하는 중요한 부분입니다.
나나의 경우, 간 주변 림프절이 약간 커져 있는 상태(약 6.1mm)로 확인되었습니다. ▼

CT 검사 결과를 바탕으로 보았을 때, 간에 있는 종양은 크기와 특징상 간세포암과 같은 악성 종양일 가능성이 가장 먼저 고려되었습니다.
또한 간의 다른 부위에서도 추가로 이상 부위가 확인되었는데, 이 역시 악성 병변일 가능성이 있지만 양성 결절(큰 문제가 되지 않는 혹)일 가능성도 완전히 배제할 수는 없는 상태였습니다.
다행히 검사상 간 주변 림프절이나 다른 장기로 뚜렷하게 퍼진 소견은 보이지 않았습니다.
다만 정확한 진단을 위해서는 종양 조직을 직접 확인하는 검사가 필요하기 때문에, 간 종양에 대한 조직 검사가 권장되었습니다.
이에 따라 영상 검사를 위해 마취를 진행한 상태에서, 바로 이어서 세침검사(가는 바늘로 조직을 채취하는 검사)를 함께 진행하기로 계획하였습니다.
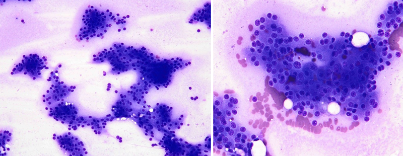
세침흡인검사(FNA)는 가느다란 바늘을 병변 부위에 넣어 세포를 채취한 뒤, 현미경으로 확인하는 검사입니다.
초음파로 종양 위치를 실시간으로 보면서 정확한 부위에서 세포를 채취하게 됩니다.
이후 채취한 세포는 전문 검사실로 보내져 자세한 분석이 진행됩니다.
검사 결과, 간세포가 비정상적으로 증식한 소견이 확인되었으며 간에서 발생한 악성 종양이 의심되는 상태로 판단되었습니다. ▼

■ 수술/치료 방법
수술은 다음과 같은 과정으로 진행되었습니다.
먼저 간의 꼬리엽 부위에서 종양이 자라난 부분을 확인했으며, 정상 간 조직과 달리 불규칙한 형태를 보이고 있었습니다.
해당 부위는 출혈을 최소화하기 위해 기구를 사용해 혈관을 묶은 뒤 종양을 절제했습니다.
이후 간 주변 림프절도 함께 분리하여 제거했습니다.
종양을 제거한 뒤에는 담낭과 남아 있는 간 조직에서 추가적인 출혈이 없는지 꼼꼼하게 확인했고, 복강 내부를 세척한 후 수술을 마무리했습니다.
절제된 간 종양과 림프절 조직은 모두 정확한 진단을 위해 전문 검사기관(IDEXX)에 조직검사를 의뢰했습니다. ▼

조직검사 결과, 미아의 간 종양은 간세포암(간에서 발생한 악성 종양)으로 확인되었습니다.
또한 검사 결과에 표시된 "margin: clear"는 종양이 주변 정상 조직과 함께 깨끗하게 모두 제거되었다는 의미로, 수술이 성공적으로 잘 이루어졌다는 것을 뜻합니다.

또한 보호자분의 동의하에 항암제 감수성 검사(PDST)도 함께 진행했습니다.
이 검사는 제거한 종양 조직을 이용해 어떤 항암제가 이 종양에 가장 효과적인지 확인하는 검사입니다.
검사 결과를 바탕으로 항암 치료 계획을 세우면 보다 효과적이고 성공적인 치료를 기대할 수 있습니다.
이후 결과를 토대로 보호자분의 상황과 치료 방향을 고려해 맞춤형 항암 계획을 수립하고, 의뢰해주신 병원 원장님께 안내드렸습니다.
■ 수술/치료 경과
수술 후에는 약 3일 정도 입원하며 회복 상태를 지켜보게 됩니다.
마취통증의학과 전문의와 협진하여, 환자 상태에 맞는 통증 관리가 이루어집니다.
또한 수술 후 감염을 예방하기 위한 항생제와 출혈을 막기 위한 지혈 치료도 함께 진행됩니다.
수액 치료는 간 회복을 돕기 위해 항산화 성분이 포함된 수액을 사용합니다.
입원 기간 동안에는 매일 수술 부위를 소독하고 드레싱을 진행하며 상처 상태를 꼼꼼하게 관리합니다.
이와 함께 염증 수치 변화를 지속적으로 확인하고, 식욕과 활력이 잘 유지되면서 염증 수치가 안정적으로 감소하면 퇴원을 고려하게 됩니다.

퇴원 후 미아는 일주일 뒤 다시 병원에 내원했습니다.
전반적인 컨디션이 좋았고, 식욕과 활력, 배변 상태도 모두 양호한 모습을 보였습니다.
보호자분께서 안내드린 대로 소독을 잘 해주시고 넥칼라도 잘 유지해주셔서 수술 부위도 깨끗하게 잘 아물었고, 이에 봉합사를 제거했습니다.
이후 미아의 수술 관련 치료는 본원에서 마무리되었으며, 처음 의뢰해주신 병원으로 돌아가 이어지는 항암 치료를 받을 수 있도록 안내드렸습니다.
순차적으로 초음파 검사 후 CT 를 진행하고 이어서 세침흡인검사를 진행한 케이스였으며, 이후 세침흡인검사 결과가 나오는대로 수술적 계획을 CT 결과를 보고 세워 수술적 절제를 한 케이스였습니다.
그렇기 때문에 가능한 전이를 막을 수 있었고 환자는 시간 효율적으로 항암도 개시하게 되었습니다.
VIP 동물의료센터는 2차 병원으로 이러한 암환자들이 내원하고 이 환자들을 위한 상위 검사들이 준비되어있습니다.
또한 내과,외과,마취통증의학과,영상의학과가 다방면에서 환자의 성공적인 진단과 치료 후 회복을 도모하기 위해 협진하고 있습니다.
VIP동물의료센터 청담점 이아진 부장