VIP동물의료센터는
심도 있는 치료까지 책임집니다.
포메라니안 뒷다리 종괴, 림프절로 보였지만 연부조직육종으로 확인된 치료 사례
- 작성자
- 관리자
- 등록일
- 2026-03-23
- 조회수
- 59
■ 환자 기본 정보
동물 이름 : 포포
나이 : 9살
성별 : 중성화 암컷
품종 : 포메라니안
주요 증상 : 우측 종아리 위쪽으로 단단한 종괴 만져짐

■ 내원 당시 환자의 상태
9살 포메라니안 환자가 뒷다리 허벅지와 종아리 사이 부위에서 단단하게 만져지는 덩어리로 내원하였습니다.
보호자분 말씀에 따르면 이전에는 해당 부위에서 특별한 이상이 느껴진 적이 없었으며, 약 1주일 전 갑자기 덩어리가 만져지기 시작했다고 합니다.
통증을 호소하거나 해당 부위에 상처가 있는 모습은 보이지 않았고, 과거 슬개골 탈구 수술 이력이 있었지만 현재 보행 상태는 안정적으로 유지되고 있었습니다.
신체검사 결과, 만져지는 덩어리는 피부 바로 아래에서 확인되는 림프절 중 하나인 ‘오금 림프절(무릎 뒤쪽에 위치한 림프절)’로 확인되었습니다.
림프절은 정상적인 상태에서도 만져질 수 있지만, 주변에 염증이 생기거나 종양과 같은 변화가 있을 경우 크기가 커지면서 더 단단하고 뚜렷하게 만져질 수 있습니다. ▼

■ 검사 방법 및 결과
해당 림프절 자체의 문제인지, 아니면 몸의 다른 부위에서 생긴 변화에 반응해 커진 것인지 확인이 필요한 상황이었습니다.
이를 위해 기본적인 혈액검사와 초음파 검사를 진행하여 전반적인 상태를 확인했으며, 검사 결과 다른 부위에서 의심되는 특별한 이상 소견은 발견되지 않았습니다. ▼

■ 수술/치료 방법
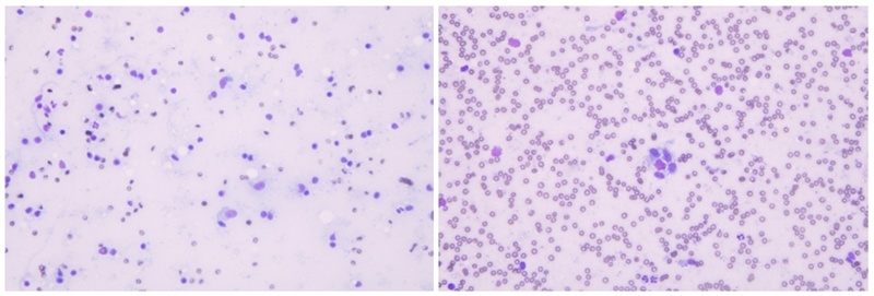
전신마취 후 종괴 제거 및 조직검사를 진행하기에 앞서, 덩어리의 성격을 먼저 확인하고 치료 방향을 정하기 위해 세침흡인검사(FNA)를 실시했습니다. 이 검사는 가는 바늘로 세포를 채취해 확인하는 비교적 간단한 검사입니다.
검사 결과, 해당 림프절은 ‘반응성 변화(reactive lymphoid hyperplasia)’로 추정되었습니다. 이는 감염이나 염증 등으로 인해 일시적으로 림프절이 커지는 경우에서 흔히 나타날 수 있는 변화입니다.
이에 따라 우선 내복약을 처방하여 경과를 지켜보았으나 크기 변화가 확인되지 않아, 보다 정확한 진단과 치료를 위해 수술적 제거를 결정하게 되었습니다. ▼

해당 부위의 종괴는 수술을 통해 제거를 진행했습니다. 수술 중 확인한 결과, 일부 림프조직과 주변 조직이 함께 단단하게 커져 있는 상태였습니다.
수술 부위는 특별한 문제 없이 안정적으로 봉합되었으며, 이후 회복 과정도 원활하게 이어졌습니다.

■ 수술/치료 경과
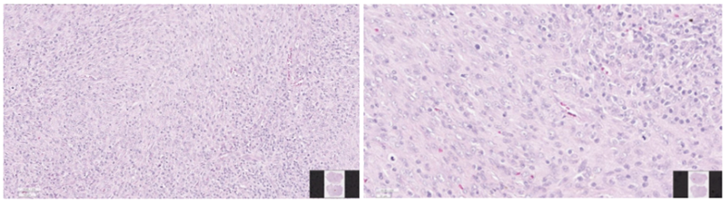
제거한 조직에 대한 정밀 검사 결과, 초기 세침흡인검사(FNA)에서 예상했던 내용과는 다르게 림프절 자체의 문제가 아닌, 일반 연부조직에서 발생한 악성 종양인 ‘연부조직육종(Grade II)’으로 최종 확인되었습니다.
이 종양은 주변 조직으로 퍼지거나 다른 장기로 전이될 가능성이 있어, 치료 시 충분한 범위를 확보한 절제가 중요합니다.
이번 경우에서는 완전한 절제를 위해 더 넓은 범위의 수술, 즉 다리 절단까지 고려가 필요한 상황이었습니다.
다만 보호자분과 충분한 상담을 거쳐 현재 상태와 삶의 질을 함께 고려하였고, 추가 검사(CT)를 통해 전이가 없는 것을 확인한 뒤 적극적인 수술 대신 재발 여부를 지속적으로 확인하는 방향으로 관리 계획을 세웠습니다.

림프절은 면역 반응과 관련된 기관으로, 다양한 원인에 의해 크기가 커질 수 있습니다.
일시적인 염증이나 반응으로 인한 경우에는 특별한 치료 없이 자연스럽게 회복되거나 내복약으로 호전되기도 합니다. 그러나 다른 종양의 전이나 림프절 자체의 종양성 변화로 인해 커지는 경우도 있기 때문에 정확한 원인 확인이 중요합니다.
이번 케이스처럼 세침흡인검사(FNA)는 비교적 간단하게 진행할 수 있는 검사이지만, 경우에 따라서는 정확한 진단에 한계가 있을 수 있습니다. 따라서 필요에 따라 수술적 절제를 통한 조직검사를 통해 보다 정확한 진단을 확인하는 과정이 중요할 수 있습니다.
VIP동물의료센터 노원점 김남희 과장