VIP동물의료센터는
심도 있는 치료까지 책임집니다.
간수치 상승으로 발견한 담낭확장증상, 절제 수술 치료
- 작성자
- 관리자
- 등록일
- 2022-11-14
- 조회수
- 1,866
간수치 상승으로 발견한 담낭확장증상, 절제 수술로 치료
청담점 외과 과장 김선영
내원이유
11살 중성화 남아 푸들로 쿠싱 질환 관리를 받고 있는 환자입니다. 쿠싱 내복약 복용에도 혈액 검사 상 간수치와 담도계 관련 수치가 지속적으로 높게 측정되어 보다 정확한 검사와 치료를 위해 내원하였습니다.

진행된 검사
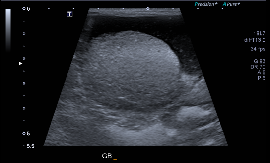
복부 초음파 검사를 실시하였고, 담낭의 확장과 점액종 양상이 확인되었습니다.
수술
간으로 부터 담낭을 분리할 때 간조직의 손상과 출혈을 최소화 하여 안전하게 분리해야 합니다. 수술 시 확장된 담낭이 확인되었고, 간으로부터 담낭을 조심스럽게 분리하였습니다. 담낭을 분리하고 절제 하기 전, 피딩 튜브를 통해 총담관의 개통성을 확인하였습니다. 담관을 결찰한 후 담낭을 절제하였고, 절제부위에서 담즙이 새어 나오지 않는것을 확인한 후 폐복하였습니다.

치료 후 결과
수술 이후 마약성 진통제를 이용한 진통 처치와 함께 항생제 처치를 병행하였습니다. 상승했던 간수치와 담도계 관련 수치가 모두 감소하였고 복부 초음파 상에서 수술 부위 또한 양호하게 관찰되었습니다.
전반적인 활력과 혈액 검사 수치가 개선된 상태에서 퇴원하였습니다.