VIP동물의료센터는
심도 있는 치료까지 책임집니다.
강아지 전립선 종양 수술, 이행상피세포암종, Transitional Cell Carcinoma(TCC) 치료 및 항암
- 작성자
- 관리자
- 등록일
- 2024-05-17
- 조회수
- 2,473
강아지 전립선 종양 수술, 이행상피세포암종, Transitional Cell Carcinoma(TCC) 치료 및 항암
동물 이름 : 찰스(가명)
나이 : 9y
성별 : 중성화 수컷
품종 : 슈나우저
주요 증상 : 빈뇨
■ 내원 당시의 상태
찰스는 소변이 방울방울 떨어지는 요실금 증상과 혈뇨가 있어 타 병원 내원했으나 치료 진행해도 개선이 없어 본원에 내원하게 됐습니다.
■ 검사방법, 검사결과

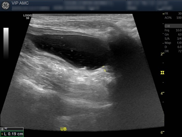
복부 방사선 - 복부 방사선 상에서 원래 보이지 말아야 될 확장된 구조물이 확인됐습니다. 이는 전립선의 종대로 인한 것으로 판단됐습니다.


CT 검사 - CT 상 전립선 요도 내 요도 벽 경계가 불분명하며, 전립선 내 저류된 요가 확인되는 바, 전립선 요도의 벽 손상 의심됐습니다. 따라서 악성종양 감별과 구조 및 형태 파악을 위해 방광경, 조직 검사를 계획했습니다.


[BRAF hotspot 염기서열 분석] 소변에서 BRAF 돌연변이가 검출됐습니다. (Mutant type 서열 확인)


방광경을 통한 부분 조직 검사 결과 - 찰스는 이행상피세포암종(Transitional Cell Carcinoma, TCC)으로 진단됐습니다.


전립선 종양 수술은 수술 적용의 난이도로 인해 색전술로 치료를 진행하는 것이 보통이나 VIP동물의료센터 동대문점에서는 수술로 찰스의 전립선 종양을 제거했습니다.




수술 후 1달 차 - 항암제 투여를 시작했습니다.
방광목 부분의 융기 된 병변을 볼 수 있습니다. 수술 후 항암제 투약 전까지 더 비후된 것 확인됐습니다.

수술 후 2달차 - 항암 치료를 지속했습니다.

수술 후 3달차 - 항암 치료를 지속했습니다.

수술 후 4달차 - 항암 치료를 지속했습니다.
* 항암치료 지속하며 융기됐던 곳이 점점 완화되는 것을 볼 수 있습니다.

수술 후 5달차 - 항암 치료를 지속했습니다.

수술 후 6달차 - 항암 치료를 지속했습니다.
* 항암치료를 지속하며 융기됐던 곳이 점점 완화되었고 정상 범위에서 유지 중입니다.
치료 전후 Fluorescent probe genotyping 을 이용한 정량분석 결과
강아지 전립선 종양 수술 전

강아지 전립선 종양 수술 후 4개월 뒤 (항암치료 3개월 뒤)

강아지 전립선 종양 수술 후 7개월 뒤 (항암치료 6개월 뒤)

* 요 중 순환 종양 유래 핵산 정도가 지속 감소 중입니다. 아직 양성 확인되어 항암치료 지속 중입니다.
강아지 방광, 전립선 종양은 악성도가 매우 높아 바늘로 세포를 흡인하는 세침흡인검사 만으로도 전이 가능성이 있다고 알려져 있어 진단이 어려우며, 요관, 요도 위치 문제로 수술 자체도 불가능한 경우가 많다고 알려져 있어 진단과 치료가 어려운 종양 중에 하나입니다.
이러한 이유로 그동안은 조직 검사도 불가능하며, 수술도 불가능하다고 알려져 있는 종양이었습니다. 따라서 종양을 가진단하고, 이 불완전한 검사 결과를 토대로 항암치료를 보통 진행해왔습니다.
그러나 본원에는 초소형 내시경을 통해 방광, 요도 내부를 들여다볼 수 있으며, 외부에서 침습적인 접근 없이 내부에서 안전하게 조직 채취가 가능합니다. 또한 방광이나 요도 종양이라면 한 번의 마취로 조직 검사와 동시에 홀뮴 레이저를 통한 종양 세포 레이저 절제가 가능합니다.
그동안 전립선 종양은 수술이 불가하다고 알려져왔으나, 본원에서는 성공적인 수술 케이스를 확보하고 있습니다. 그리고, 이후 항암치료를 통해 재발하지 않도록 관리합니다.
강아지 전립선 종양으로 인해 수술이 필요하시다면 풍부한 경험을 가진 VIP동물의료센터 동대문점 수의사와 논의 후 최적의 방법으로 치료를 진행하시기 바랍니다.
VIP동물의료센터 동대문점 원장 고한아, 김지현