본문바로가기

VIP Medical Cases

VIP 분야별 다양한 치료케이스를 지금 만나보세요.

VIP동물의료센터는
심도 있는 치료까지 책임집니다.

강아지 옆구리 몽우리가 알고 보니 악성종양?
외과 과장 김지현 수의사



12살의 중성화한 남자 강아지 말티즈 뿌꾸는 최근 옆구리에 종괴를 발견하고 크기가 점점 커져서 내원을 하게 되었습니다.

간단한 신체검사 후 방사선검사 종괴의 정확한 분석을 위해 FNA, 조직 검사&CT와 함암제 감수성으로 진행하였습니다.



뿌꾸01.JPG


신체검사
오른쪽 옆구리 복강과 갈비뼈 위쪽으로 5cm 가량의 움직이지 않는 단단한 종괴를 확인  되었습니다.



뿌꾸02.JPG



방사선 검사
결과 뼈에 침습이나 명확한 전이 소견은 확인되지 않았습니다.



FNA 미세 흡입 검사
종양의 종류에 따라서 미세 침 흡입 검사로 확인이 어려울 수 있고, FNA 검사는 진단율이 50% 가량밖에 되지 않습니다. 때로는 많은 정보를 줄 수 있지만 이번 케이스에선 조금 더 정확한 진단을 위해 조직 검사 및 CT 검사를 진행하게 되었습니다.






뿌꾸03.JPG


뿌꾸04.JPG




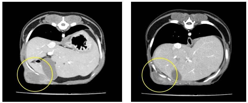
조직 검사&CT 검사
조직 검사를 진행하여 정확한 종양의 종류를 평가하였는데 안타깝게도 결과는 악성 연부 조직( soft tissue sarcoma ) 으로 나왔습니다.

악성종양으로 나왔기 때문에 수술적인 제거가 불가피하고 완전히 제거 가능한지 또 정확한 전이 평가를 위해 CT 촬영을 진행했습니다.


CT 검사 결과 상 악성 연부 조직 종양은 흉곽을 이루고 있는 갈비뼈 사이 근육과 복벽을 이루고 있는 근육이 결계가 불명확하다는 결과를 얻었습니다.


여기서 종양을 수술적으로 완전 제거, 절제 한다고 할 때에는 종양과 그 종양을 둘러싼 정상 조직을 포함해 제거할 경우 완전 절제가 되었다고 말할수 있으며, 종양의 종류에 따라 주변으로 침습되는 정도가 다르기 때문에 종양과 정상조직의 포함하는 정도가 다른데, 뿌꾸의 악성 종양은 정상 조직을 포함해서 제거를 하려면 흉강과 복강의 재건이 필요한 아주 큰 수술이 필요했고 침습적인 수술보다는 종양을 최대한 제거한 후 항암치료를 병행하는 쪽으로 수술이 진행되었습니다.


뿌꾸05.JPG


종양은 성공적으로 절제되었고 종양을 토대로 항암제 감수성 검사를 진행했습니다.




항암제 감수성검사


뿌꾸06.JPG


항암제 감수성 결과를 토대로 제일 안전하고 효과적인 치료를 이어갈 수 있게 되었습니다.